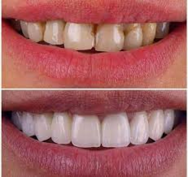
به گزارش نبض نگار: با قرار دادن قطعات کوچک لمينت روي دندان، افراد ميتوانند رنگ، شکل، اندازه يا طول دندانهاي خود را تغيير دهند تا به نتيجه دلخواه خود برسند. لمينت ها مزاياي زيبايي دارند و همچنين استحکام و دوام دندان را در مقايسه با ميناي طبيعي افزايش مي دهند. علاوه بر اين، آنها مي توانند ناهماهنگي ها و ساير عيوب دندان را بپوشانند و در نتيجه رديف دندان ها يکنواخت تر و منظم تر به نظر برسد.
لمينت هاي دنداني را مي توان از مواد کامپوزيت چيني يا رزين ساخت. لمينت هاي پرسلن در برابر لکه ها مقاوم تر هستند و خاصيت انعکاس نور دارند که مشابه دندان هاي طبيعي است. در نتيجه، برخي از افراد ممکن است روکش هاي چيني را به کامپوزيت هاي رزين ترجيح دهند. مهم است که با دندانپزشک مشورت کنيد تا بهترين و مناسب ترين ماده روکش دندان را تعيين کنيد.
مراحل لمينت دندان
پيش از انجام لمينيت دندان ها بايد به پزشک مراجعه کنيد و دندان هاي شما مورد بررسي قرار بگيرد. پس از انجام مشاورات و معاينه هاي لازم فرايند لمينت کردن دندان ها آغاز مي شود.
مشاوره
لازم است افراد در يک جلسه مشاوره براي لمينت دندان، اهداف مورد نظر خود را با دندانپزشک در ميان بگذارند. بر اساس اين اهداف، دندانپزشک دندان هاي شما را معاينه مي کند تا تشخيص دهد که آيا لمينت درمان مناسب براي شما است يا خير. همچنين ممکن است براي بررسي دقيقتر دندانهاي شما، با استفاده از اشعه ايکس از دندان هاي شما عکس بگيرد. علاوه بر اين، دندانپزشک ممکن است يک نمونه تصويربرداري زيبايي تهيه کند تا به شما نشان دهد دندان هاي شما پس از استفاده از لمينت چگونه به نظر مي رسد. اين به شما کمک مي کند تا در مورد ادامه يا عدم ادامه درمان تصميمي آگاهانه بگيريد.
آماده سازي
براي لمينت کردن دندان لازم است مقدار کمي از ميناي دندان را تراش دهند تا فضاي مناسبي براي قرار دادن لمينت روي دندان ايجاد شود. اين فرايند معمولاً شامل حذف بين سه دهم تا يک ميليمتر ميناي دندان است که تقريباً به همان ضخامت پوشش لمينت است. برداشتن ميناي دندان بسته به سطح حساسيت فرد ممکن است به بي حسي نياز داشته باشد و در برخي موارد هم احتياجي ندارد. هنگامي که ميناي دندان تراشيده شد، دندانپزشک يک قالب يا اسکن ديجيتالي از دندان مي گيرد و آن را به آزمايشگاه دندانپزشکي مي فرستد تا يک لمينت سفارشي ايجاد کند. معمولاً 2 تا 4 هفته طول مي کشد تا ونيرهاي لمينت درآزمايشگاه ساخته شوند. در اين مدت ممکن است از روکش هاي موقت براي پوشاندن دندان ها استفاده شود.

نصب لمينت
آخرين مرحله قرار دادن لمينت روي دندان است. قبل از چسباندن دائمي لمينت با ماده مخصوص، دندانپزشک آن را روي دندان قرار مي دهد تا تناسب و رنگ آن را بررسي کند. در صورت لزوم مرتباً برداشته و برش داده مي شود تا به شکل مطلوب برسد رنگ لمينت ها را بايد با دندان هاي بيمار تطابق داشته باشد.
براي انجام اين کار معمولا از راهنماي رنگ و سايه کمک مي گيرند. البته سليقه بيماران هم در انتخاب رنگ لمينت دخالت دارد. مي توانيد براي قسمت هاي مختلف دندان از سايه هاي متفاوتي استفاده کنيد که بستگي به شفافيت رنگ دندان در آن بخش دارد.
سپس سطح دندان شما را تميز کرده، جلا مي دهد اين امر ممکن است باعث شود کمي احساس زبري بر روي دندان ها حس کنيد. تراش دادن سطح دندان باعث مي شود تا اتصال محکم تري ايجاد گردد. پس از آن با کمک مواد مخصوصي که معمولاً از يک رزين حساس به نور ساخته شده، روکش را آماده کرده و آن را بر روي دندان بيمار قرار مي دهند. هنگامي که روکش در جاي خود قرار مي گيرد، نور خاصي را روي آن مي تاباند تا مواد شيميايي موجود در متريال مخصوص لمينت را فعال کرده و سخت شدن آن را تسريع کنند.
در نهايت، مواد اضافي را تراش مي دهند، سپس رديف دندان ها بررسي مي شود و تنظيمات لازم انجام مي گيرد. احتمالاً دندانپزشک از شما مي خواهد که در دو هفته آينده براي ويزيت بعدي مراجعه کنيد.

مزاياي لمينت دندان چيست؟
بهبود زيبايي لبخند: لمينتهاي دندان ميتوانند با پوشش دادن دندانهاي تغيير رنگ يافته، شکسته يا لکهدار ظاهر لبخند شما را بهبود بخشند و اعتماد به نفس شما را افزايش دهند.
حداقل آمادهسازي دندان: در حالي که براي نصب لمينتهاي دندان مقداري تراش ميناي دندان لازم است، در مقايسه با ساير روشهاي مشابه اين ميزان کمتر است و در نتيجه آسيب کمتري به ساختار طبيعي دندان وارد ميشود.
مقاومت در برابر تغيير رنگ: لمينت هاي دنداني مقاومت بالايي در برابر زرد شدن و تغيير رنگ دارند و به شما اين امکان را مي دهد تا با رعايت بهداشت و رژيم غذايي مناسب، مدت زمان بيشتري از درخشندگي آنها لذت ببريد.
ظاهر طبيعي: لمينتهاي دندان در رنگهاي مختلف موجود هستند که به شما اين امکان را ميدهند که نزديکترين سايه به دندانهاي طبيعي خود را انتخاب کنيد و در نتيجه ظاهر طبيعيتري داشته باشيد.
دوام: با مراقبت و نگهداري مناسب، لمينت هاي دندان مي توانند ماندگاري طولاني داشته باشند و در دراز مدت آنها را به گزينه اي مقرون به صرفه تبديل کنند.
زمان درمان کوتاه: مدت زمان درمان لمينت هاي دندان در مقايسه با ساير روش هاي دندانپزشکي نسبتاً کوتاه است و به شما اين امکان را مي دهد که در مدت زمان کوتاه تري به لبخندي زيبا برسيد.
عوارض لمينت دندان
عدم امکان تعمير: اگر لمينت دندان شکسته يا تراشه کند، قابل تعمير نيست و بايد به طور کامل تعويض شود.
برگشت ناپذيري لمينت: فرآيند استفاده از لمينت دندان مستلزم برداشتن مقداري از لايه سطحي دندان است که آن را غيرقابل برگشت مي کند. بنابراين، افرادي که ممکن است بخواهند در آينده لمينت هاي دندان خود را بردارند يا از روش هاي درماني ديگري استفاده کنند، بهتر است از روشهاي جايگزين ديگر مانند کامپوزيت دندان ها استفاده کنند.
قيمت بالا: لمينت دندان مي تواند گران باشد، به خصوص اگر چندين دندان نياز به درمان داشته باشد.
حساسيت دندان: پس از قرار دادن لمينت دندان، برخي از افراد ممکن است به طور موقت حساسيت دندان به دماي گرم يا سرد را تجربه کنند.
احتمال پوسيدگي دندان: لمينت هاي دنداني نامناسب يا عدم رعايت بهداشت دهان و دندان مي تواند خطر پوسيدگي دندان و بيماري لثه را افزايش دهد. انجام اين روش توسط يک متخصص دندانپزشکي واجد شرايط بسيار مهم است.
لمينت دائمي دندان
لمينت ها مانند روش هاي ديگر زيبايي در دندان پزشکي عمر دائمي ندارند. اما به اين علت که يک روش تقريبا تهاجمي به شمار مي رود به عنوان روش هاي برگشت ناپذير محسوب مي شود. انتخاب روش زيبايي لمينت باعث مي شود، مقداري از ميناي دندان تراشيده شود، با توجه به اين موضوع پس از نصب لمينت بر روي دندان ها ديگر اين امکان وجود ندارد که از دندان ها بدون روکش استفاده کنيد. بنابراين پس از گذشت يک مدت زمان معين لازم است به تعويض يا ترميم روکش ها بپردازيد.
انواع لمينت دندان
لمينت هاي دندان به دو دسته تقسيم مي شوند:
ونيرهاي کامپوزيت: لمينت هاي کامپوزيت به دليل گزينه هاي رنگي قابل تنظيم، ضخامت کم (معمولا 0.5 ميلي متر) و حداقل نياز به آماده سازي دندان، محبوبيت بيشتري دارند. لمينت هاي کامپوزيت مزاياي بيشتري مانند توانايي اصلاح طرح لبخند و شکل دادن به آن بر اساس ساختار صورت فرد را ارائه مي دهند. علاوه بر اين، متخصصان دندانپزشکي متخصص مي توانند به راحتي خدمات ترميم دندان لمينت هاي کامپوزيت را ارائه دهند.
لمينت هاي سراميکي: لمينت دائمي دندان که به عنوان روکش هاي چيني نيز شناخته مي شوند، نسبتاً گران تر از لمينت هاي کامپوزيت هستند. در بيشتر موارد، آماده سازي و شکل دهي دندان ضروري است و معمولاً در آزمايشگاه ساخته مي شوند. با اين حال، لمينتهاي سراميکي طيف وسيعتري از انتخابهاي مواد و سطوح شفافيت را ارائه ميدهند که در نتيجه ظاهر زيباييشناختي بيشتري به همراه دارد. لمينت هاي سراميکي به دليل کيفيت و دوام بالاتر، گزينه بهتري براي افرادي هستند که به دنبال راه حلي طولاني مدت مي باشند.
نياز به تعمير و نگهداري و طول عمر لمينت هاي دندان چقدر است؟
در صورت نگهداري مناسب، لمينت هاي دندان مي تواند بين 7 تا 15 سال دوام بياورد. نگهداري از دندان هاي لمينت کار سختي نيست و تنها مستلزم رعايت اصول اوليه بهداشت دهان و دندان مانند مسواک زدن دوبار در روز، نخ دندان کشيدن روزانه و شستشوي دهان با دهان شويه هاي ضد عفوني کننده است. ممکن است دندانپزشک به شما توصيه کند که از گاز گرفتن يا جويدن اجسام سختي که مي توانند لمينت را بشکنند يا به آن آسيب برسانند و همچنين از سيگار کشيدن و مصرف غذاها و نوشيدني هايي که ممکن است باعث تغيير رنگ دندان شوند مانند چاي و قهوه خودداري کنيد. معاينات منظم دندانپزشکي نيز براي اطمينان از طول عمر لمينت شما مهم است.
آنچه بايد قبل از لمينت کردن دندان ها بدانيد
• نصب لمينت دندان به عنوان يک اقدام غيرقابل برگشت مي باشد، به اين معني که پس از برداشتن ميناي دندان، نمي توان آن را جايگزين يا ترميم کرد.
• اگر لمينت ترک خورده يا شکسته باشد، قابل تعمير نيست و نياز به تعويض کامل دارد.
• پس از تراشيدن ميناي دندان در طول فرآيند لمينيت، دندان ها ممکن است به غذاها و نوشيدني هاي گرم يا سرد حساس شوند.
• رنگ لمينت پس از تثبيت روي دندان قابل تغيير نيست که در صورت عدم تطابق با رنگ ساير دندان ها ممکن است باعث مشکلات زيبايي شود.
• براي جلوگيري از جدا شدن لمينت، مهم است که از گاز گرفتن يا جويدن اجسام سخت خودداري کنيد.
• اگر چه دندان هاي لمينت شده کمتر مستعد لک و تغيير رنگ هستند، اما همچنان مستعد پوسيدگي هستند. در موارد شديد، ممکن است به جاي لمينت، روکش کامل دندان لازم باشد.
کاربردهاي لمينت دندان
لمينت هاي دندان راه حلي عالي براي اصلاح عيوب و فاصله بين دندان، شکل و رنگ دندان ها هستند. آنها اغلب براي رفع مشکلات زير استفاده مي شوند:
• تغيير رنگ ناشي از فشارها و استرس، مصرف داروهايي مانند تتراسايکلين يا ساير داروها، مصرف بيش از حد فلورايد، يا اثرات رزين هاي پرکننده و موارد ديگر
• براي درمان دندان هاي فرسوده
• دندان هاي ترک خورده يا شکسته.
• دندان هايي که نامرتب، ناهموار يا نامنظم هستند.
• از بين بردن فاصله هايي که بين دندان ها وجود دارد.
به طور کلي، لمينت هاي دندان به عنوان يک گزينه موثر در دندانپزشکي زيبايي به شمار مي رود که از آن براي بهبود ظاهر دندان ها و دستيابي به لبخندي يکنواخت تر و زيباتر کمک مي گيرند.
قيمت لمينت دندان
يکي از مهمترين مواردي که در هنگام انجام لمينت دندان مطرح مي شود هزينه اين روش درماني است. قيمت لمينت دندان مانند ديگر تعرفه هاي دندانپزشکي مي باشد و نمي توانيم به شکل قاطع و دقيق هزينه مشخصي را براي اين روش درماني در نظر بگيريم. معمولا هزينه لمينت را بر اساس تعداد و نوع روکش محاسبه مي کنند. اين قيمت در مکان هاي مختلف بسته به نوع خدمات ممکن است متفاوت باشد.
0 دیدگاه